సేవలు & FQAలు

అల్ట్రా-సన్నని పొరలు, కామెటిక్ డెంచర్ కోసం భవిష్యత్తు ట్రెండ్


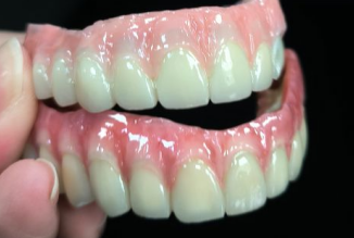
డెంటల్ వెనీర్, కామెటిక్ కట్టుడు పళ్ళు కోసం ధోరణి డెంటల్ veneer రోగులకు అందాన్ని అందించే లెన్స్ పొరల వలె ప్రత్యేకంగా సన్నగా ఉంటుంది సున్నితమైన దంతాలు ఎటువంటి రాపిడి లేదా కత్తిరించకుండా సహజమైన, చక్కని చిరునవ్వు నిర్మాణాలు. సాంప్రదాయ పొరలు మరింత మందంగా ఉంటాయి మరియు కటింగ్ లేదా గ్రౌండింగ్ అవసరం మీ స్వంత దంతాల నిర్మాణం. E.max వెనీర్ 20 సంవత్సరాల వరకు ఉంటుందని వైద్యపరంగా నిరూపించబడింది. చాలా సందర్భాలలో, అల్ట్రా-సన్నని పొరలు పూర్తిగా తొలగించబడతాయి ఎందుకంటే అవి ఆరోగ్యకరమైన దంతాన్ని పాడు చేయవు నిర్మాణం. మీ స్వంత దంతాలు ఇప్పటికీ చెక్కుచెదరకుండా, ఆరోగ్యంగా మరియు బలంగా ఉన్నాయి. మరియు ఉన్నాయి తినడం మరియు త్రాగడానికి ఎటువంటి పరిమితులు లేవు. అయితే, రోగులు అందుకోవాలి అల్ట్రా-సన్నని పొరలను నిర్వహించడానికి సెమీ-వార్షిక దంతవైద్యుల సందర్శనలు మరియు శుభ్రపరచడం రోగి యొక్క స్వంత దంతాలకు ప్రాధాన్యత ఇవ్వడానికి.డెంటల్ వెనీర్ అనేది యూరప్, అమెరికాలలో ప్రసిద్ధి చెందిన డెంటల్ బ్యూటీ టెక్నాలజీ. జపాన్ మరియు దక్షిణ కొరియా. ఇది సంరక్షించడానికి అధునాతన బంధ సాంకేతికతను అవలంబిస్తుంది ముఖ్యమైన పల్ప్ మరియు దంతాలు రుబ్బు కాదు. రంగు మారిన దంతాలు మరియు వికృతమైన దంతాలు బంధించబడి, పునరుద్ధరించడానికి హై-టెక్ పింగాణీ పునరుద్ధరణ పదార్థాలతో కప్పబడి ఉంటుంది పంటి యొక్క సాధారణ ఆకారం మరియు దాని రంగును మెరుగుపరుస్తుంది. గ్రౌండింగ్ లేదా అనస్థీషియా ఉంది అవసరం లేదు మరియు శాశ్వత సౌందర్యాన్ని సాధించడానికి 3Dలో ఖచ్చితంగా రూపొందించబడ్డాయి. (1 కాని గ్రౌండింగ్ - పంటి కణజాలం రక్షిస్తుంది, చిగుళ్ళు చికాకుపరచు లేదు, మరియు చెయ్యవచ్చు సహజ దంతాల దీర్ఘకాలిక ఆరోగ్యాన్ని కాపాడుతుంది. (2 మంచి నీడ - దంతాల తయారీ సమయంలో చిగుళ్ళను చదును చేయవచ్చు, మరియు చిగుళ్ళకు చికాకు చాలా తక్కువగా ఉంటుంది మరియు రంగు మారే సమస్య ఉండదు లోహ-పింగాణీ దంతాల యొక్క లోహ అయాన్ల వల్ల కలిగే చిగుళ్ళ. (3 అందమైన మరియు దీర్ఘకాలం- ఇది మంచి పారదర్శకత మరియు షేడింగ్ లక్షణాలను కలిగి ఉంటుంది. ఇది ఏ లోహ భాగాలను కలిగి లేనందున, సౌందర్య ప్రభావం అద్భుతమైనది, మరియు పింగాణీ పళ్ళకు సాధారణమైన "బ్లాక్ లైన్" దృగ్విషయం జరగదు కనిపిస్తాయి. పింగాణీ పొర యొక్క అధిక నాణ్యత రాపిడి నిరోధకత మరియు రంగు లేకుండా సాధించగల తెల్లబడటం ప్రభావం. (4 సౌకర్యవంతమైన మరియు పడిపోకుండా - E.max వెనిర్ పునరుద్ధరణ చాలా లేదా అన్ని భాషా ఆకారం కూడా, ప్రత్యర్థి దంతాలను సమర్థవంతంగా రక్షిస్తుంది.వాన్మీ డెంటల్ ల్యాబ్ అనేది డెంటల్ వెనీర్‌పై దృష్టి సారించే నమ్మకమైన చైనా అవుట్‌సోర్సింగ్ డెంటల్ ల్యాబ్. మరియు అనేక సంవత్సరాలుగా అన్ని రకాల పునరుద్ధరణలు, మేము అందించడానికి అంకితం జీవితం లాంటిది, ప్రజలకు మంచి చిరునవ్వు.

సంబంధిత వార్తలు
నాకు సందేశం పంపండి
X
మీకు మెరుగైన బ్రౌజింగ్ అనుభవాన్ని అందించడానికి, సైట్ ట్రాఫిక్‌ను విశ్లేషించడానికి మరియు కంటెంట్‌ను వ్యక్తిగతీకరించడానికి మేము కుక్కీలను ఉపయోగిస్తాము. ఈ సైట్‌ని ఉపయోగించడం ద్వారా, మీరు మా కుక్కీల వినియోగానికి అంగీకరిస్తున్నారు. గోప్యతా విధానం
తిరస్కరించు అంగీకరించు